Η Doppler Υπερηχογραφία
Μέσω της Υπερηχογραφίας Doppler μπορούμε να μετρήσουμε την αντίσταση που βρίσκει το αίμα μπροστά του, καθώς κυλά μέσα στα αγγεία. Έτσι, η μέτρηση της αντίστασης αυτής στα αγγεία της μητέρας και του εμβρύου, θα μας δείξει εάν η τροφοδοσία του εμβρύου με αίμα (δηλαδή με οξυγόνο και θρεπτικά συστατικά) είναι επαρκής.
Εφαρμογή στη Μαιευτική
Η εξέταση αποτελεί μέρος των Προληπτικών Εξετάσεων της Κύησης καθ’όλη τη διάρκειά της.
Η Υπερηχογραφία Doppler των αγγείων της μήτρας (Μητριαίες Αρτηρίες) συνιστά μια προληπτική εξέταση για την έγκαιρη ανίχνευση διαταραχών της δημιουργίας του Πλακούντα και των συνεπειών της (Προεκλαμψία, Ενδομήτρια Καθυστέρηση της Ανάπτυξης – IUGR).
Η Υπερηχογραφία Doppler των αγγείων του εμβρύου (Ομφαλική Αρτηρία, Μέση Εγκεφαλική Αρτηρία και Φλεβώδης Πόρος) βοηθά στη διάγνωση στην παρακολούθηση παθολογικών καταστάσεων, όπως η Ενδομήτρια Καθυστέρηση της Ανάπτυξης - IUGR, η Εμβρυική Αναιμία, το Σύνδρομο Εμβρυο-εμβρυικής Μετάγγισης – TTTS και οι Εμβρυικές Συγγενείς Καρδιακές Ανωμαλίες.
Πότε πρέπει να γίνεται η Υπερηχογραφία Doppler
Ενδείξεις για τη διενέργεια της Υπερηχογραφίας Doppler είναι οι εξής:
- Υποψία για Ενδομήτρια Καθυστέρηση της Ανάπτυξης – IUGR
- Η Υπερτασική Νόσος της Κύησης – Προεκλαμψία
- Η εμφάνιση Προεκλαμψίας σε προηγούμενη εγκυμοσύνη
- Το ιστορικό ενδομήτριου θανάτου σε προηγούμενη εγκυμοσύνη
- Διαταραχές της καρδιακής συχνότητας του εμβρύου
- Υποψία ύπαρξης συγγενούς ανωμαλίας (ιδιαίτερα καρδιακής) ή άλλης ασθένειας του εμβρύου
- Υποψία ύπαρξης Ενδομήτριας Καθυστέρησης της Ανάπτυξης του Εμβρύου - IUGR
- Η πολύδυμη κύηση

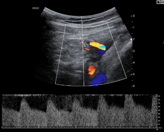
Εικόνα 01 και Εικόνα 02: Φυσιολογική καμπύλη Doppler δεξιάς και αριστερής Μητριαίας Αρτηρίας
Σε ποια εβδομάδα γίνεται η Υπερηχογραφία Doppler
Η εξέταση διενεργείται στο ιατρείο κατά την
- 13η εβδομάδα
- 20η-24η εβδομάδα
- 28η εβδομάδα
- 32η εβδομάδα
καθώς και συχνότερα εάν υπάρχει ένδειξη για πιο εντατική παρακολούθηση της κύησης.
Doppler Ομφαλικής Αρτηρίας
Η Υπερηχογραφία Doppler στην Ομφαλική Αρτηρία θα μας δείξει εάν η τροφοδοσία του εμβρύου με αίμα και θρεπτικά συστατικά είναι επαρκής.

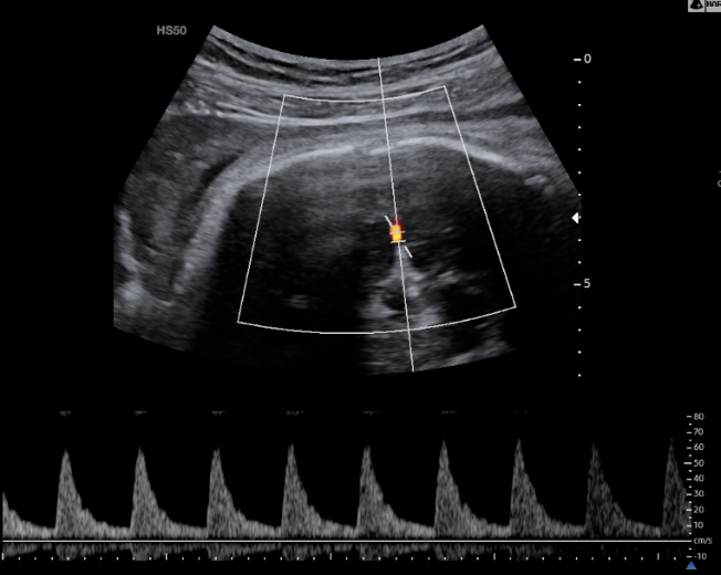
Εικόνα 03 – Φυσιολογική καμπύλη Doppler Ομφαλικής Αρτηρίας
Doppler Μέσης Εγκεφαλικής Αρτηρίας
Η Υπερηχογραφία Doppler της Μέσης Εγκεφαλικής Αρτηρίας ενδείκνυται σε δυο περιπτώσεις:
- Παρακολούθηση κυήσεων με εμβρυική αναιμία.
- Παρακολούθηση κυήσεων με παθολογικό εύρημα στην Ομφαλική Αρτηρία

Εικόνα 04 - Φυσιολογική καμπύλη Doppler Μέσης Εγκεφαλικής Αρτηρίας
Doppler Φλεβώδους Πόρου
Ο Φλεβώδης Πόρος είναι ένα εμβρυικό αγγείο, το οποίο εξετάζεται σε περίπτωση παθολογικού ευρήματος στην Ομφαλική Αρτηρία ή/και στην Μέση Εγκεφαλική Αρτηρία.

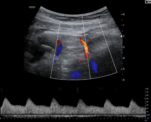
Εικόνα 05 - Φυσιολογική καμπύλη Doppler Φλεβώδους Πόρου
Doppler Φλεβώδους Πόρου στα πλαίσια του Προγεννητικού Ελέγχου
Η πρώτη Υπερηχογραφία Doppler του Φλεβώδους Πόρου διενεργείται στα πλαίσια της μέτρησης της Αυχενικής Διαφάνειας κατά την 13η εβδομάδα και βοηθά να εκτιμήσουμε τον κίνδυνο ύπαρξης καρδιακών ή/και άλλων συγγενών ανωμαλιών στο έμβρυο.
Συνοπτικά
Η Υπερηχογραφία Doppler είναι ένα εξαιρετικά χρήσιμο διαγνωστικό εργαλείο και αποτελεί αναπόσπαστο κομμάτι της σύγχρονης Μαιευτικής.
Η εξέταση χρησιμεύει για:
- Τον έγκαιρο προσδιορισμό του κινδύνου εμφάνισης κάποιων επιπλοκών (Προεκλαμψία, Ενδομήτρια Καθυστέρηση της Ανάπτυξης – IUGR)
- Την παρακολούθηση κυήσεων με εμφάνιση Ενδομήτριας Καθυστέρησης της Ανάπτυξης – IUGR
- Την παρακολούθηση κυήσεων όπου εμφανίζεται αναιμία του εμβρύου
- Την εκτίμηση του κινδύνου ύπαρξης καρδιακών ή/και άλλων συγγενών ανωμαλιών στο έμβρυο
Doppler Υπερηχογραφία στο ιατρείο μας
Στο ιατρείο μας διενεργούνται καθημερινά Υπερηχογραφίες Doppler στα πλαίσια παρακολούθησης Κυήσεων Υψηλού Κινδύνου αλλά και προληπτικά σε κυήσεις με φυσιολογική πορεία. Η εξέταση είναι τελείως ακίνδυνη, ανώδυνη και έχει διάρκεια μόλις λίγων λεπτών.
Ο κ. Δρ. Δ. Παναγιωτόπουλος είναι μέλος της Γερμανικής Εταιρίας Υπερήχων στην Ιατρική (DEGUM - Deutsche Gesellschaft für Ultraschall in der Medizin) και κάτοχος του Πιστοποιητικού Εξειδίκευσης DEGUM I στη Μαιευτική και Γυναικολογική Υπερηχογραφία, καθώς επίσης και μέλος του Γερμανικού Ιδρύματος Εμβρυικής Ιατρικής (FMF Deutschland – Fetal Medicine Foundation Deutschland) και κάτοχος του Πιστοποιητικού Εξειδίκευσης στον Προληπτικό Έλεγχο του Πρώτου Τριμήνου του FMF Γερμανίας.
Είναι επίσης κάτοχος του Πιστοποιητικού Εξειδίκευσης στην Υπερηχογραφία Doppler από την Πανεπιστημιακή Κλινική της Βόννης – Ομοσπονδιακό Κέντρο Αναφοράς Μαιευτικής Υπερηχογραφίας και Παρακολούθησης Κυήσεων Υψηλού Κινδύνου, Διευθυντής Prof. Dr. U. Gembruch.
Όλες οι παραπάνω εικόνες προέρχονται από παρακολούθηση εγκύων με Κυήσεις Υψηλού Κινδύνου που κατά τη δύσκολη πορεία της εγκυμοσύνης τους εμπιστεύθηκαν το ιατρείο μας.
Τις ευχαριστούμε θερμά για την εμπιστοσύνη τους και τη συγκατάθεσή τους για τη δημοσίευση των εικόνων.


Γνωρίστε τον ιατρό

Δρ. Δημήτριος Παναγιωτόπουλος MD, PhD
Χειρουργός Γυναικολόγος
Λαπαροσκοπική Χειρουργική - Ουρογυναικολογία







